導引式植手vs傳統植牙,哪種比較好?成功率、安全性、壽命全面比較|南投生活牙醫診所
2025.08.27
當談論到植牙,許多人腦海中浮現的可能是漫長的手術時間、不適感和複雜的恢復過程。但隨著牙科技術的快速進步,現在你有了一個更精準、更舒適的選擇——導引式植牙。
接下來南投生活牙醫診所將帶你深入了解導引式植牙與傳統植牙之間的差異。我們將從治療過程、手術精準度、術後恢復到整體體驗,一一為你剖析,幫助你做出最適合自己的決定。告別對植牙的恐懼,一起探索更舒適、更有效率的植牙新方式!
認識導引式植牙和傳統植牙
▶ 導引式植牙 (Guided Implant Surgery)
分析時用電腦斷層 (CT) 與口腔數位掃描,透過軟體規劃植體位置,並製作「手術導板」,手術時植牙醫師會將導板上套在齒列上,順著導板上孔洞的特定角度、深度與位置鑽孔與植入植體。現今歐美醫界的主流植牙方法。
特色:高精準度、傷口較小、降低風險、可預測性高

▶傳統植牙 (Freehand Implant Surgery)
傳統的植牙方式,手術時由醫師依臨床經驗與判斷,徒手決定植體位置與角度。
特色:手術成本低、誤差較大、高度依賴醫師經驗及手感

植牙手術方法比較
植牙手術的核心問題不只是「能不能成功」,而是「成功的品質與風險」。以下南投生活牙醫植牙專科牙醫團隊將從臨床角度比較 導引式植牙 與 傳統徒手植牙,讓您一眼看出差異。
▶ 手術精準度與安全性
精準度差異是安全性差距的根本來源。
導引式植牙:透過 3D 斷層、口腔掃描及導引模板,植體偏差縮小至 0.72–0.88 mm,角度誤差約 2.5°。
傳統植牙:仰賴醫師臨場判斷,偏差平均 1.56–2.22 mm,角度誤差可達 7° 以上。

▶ 手術風險與併發症
導引式植牙:術前模擬能避開神經、血管與上顎鼻竇,文獻統計失敗率僅 2.25%
傳統植牙:失敗率是導引式植牙的3倍,在骨條件不佳或複雜區域,風險更高。

▶ 手術時間與恢復速度
導引式植牙:術前規劃完整,實際手術常縮短 30–50%,傷口小、出血少,患者平均恢復期縮短至少 2–3 天。
傳統植牙:需術中反覆確認位置,手術時間較長;傷口範圍較大,術後腫脹與不適感更明顯。
▶ 手術後舒適度
導引式植牙:傷口小、恢復快、疼痛與腫脹較輕,對怕痛或年長患者特別有利。
傳統植牙:手術需要較大切口來確定植體位置,因此術後不適度高。

▶ 美學效果(尤其前牙區)
導引式植牙:術前可模擬植體與假牙位置,預測牙齦支撐與笑容比例,術後美觀度優。
傳統植牙:難以精準預測未來假牙比例,若誤差過大可能影響笑容線條。
▶ 長期成功率
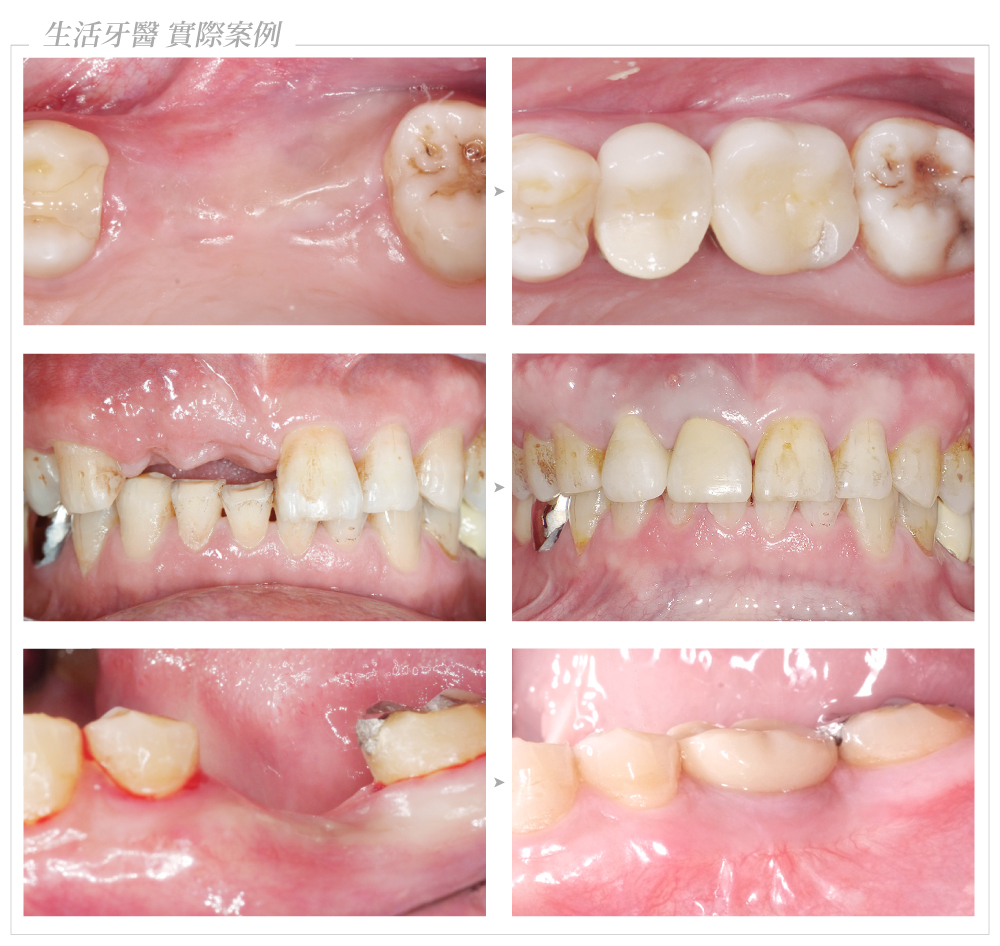
導引式植牙:五年成功率約 95–98%,保養得宜甚至可以高達100%,且因植體角度與深度控制得宜,後續假牙製作與清潔更符合長期穩定條件。
傳統植牙:五年成功率約 90–93%,雖仍屬高成功率,但在骨量不足或美學需求較高的案例中,導引式的優勢更明顯。
總結:差的不只一片導引版,而是整個流程與邏輯
在南投生活牙醫,導引式植牙不是單純「多了一片導板」,而是整合了數位影像、3D模擬與精準導引的完整流程,讓手術更安全、更精準。徒手植牙則過度仰賴醫師經驗,在部分簡單病例雖然可行;但在追求高美學、低風險與長期穩定的趨勢下,導引式植牙已成為當今植牙的主流方案。
導引式植牙並不是要取代醫師,而是透過數位化輔助,將專業醫師的經驗、判斷與臨床操作放大,進一步降低風險、提升精準度。真正決定植牙成敗的,仍是醫師的治療規劃與手術能力。若規劃本身不夠嚴謹,導引板再精密,也只能「忠實執行錯誤的設計」。


全面升級採用導引式植牙
為了提供更優良的醫療品質,南投生活牙醫診所全面升級採用導引式植牙。南投生活牙醫診所堅持專業團隊、嚴謹流程,結合導引技術與醫師經驗,為患者打造安全、穩定、長期安心的植牙方案。如果您正在尋找南投植牙推薦牙醫或專業的南投牙醫診所,我們誠摯邀請您預約諮詢,讓專業團隊為您量身打造最適合的治療計畫。



